Tel : (038)488354, (038)488355, (089)6976943
เมนู
บริการ
หน้าแรก
บริการ
แกลอรี่ยิ้มสวย
ติชมเรา
โปรโมชั่นและค่ารักษา
ติดต่อเรา
ข่าวสาร/กิจกรรม
ออร์โธสไมล์
รู้จัก ออร์โธสไมล์
เยี่ยมชมคลินิก
ทีมทันตแพทย์ของเรา
เทคโนโลยีทางทันตกรรม
แกลอรี่ยิ้มสวย
เกร็ดความรู้เรื่องฟัน
บริการ
จัดฟัน
จัดฟันใสไร้ลวด
รากเทียม
ฟอกสีฟัน
รักษาโรคเหงือก
ครอบฟัน และสะพานฟัน
ถอนฟัน ผ่าฟันคุด
ทันตกรรมเพื่อความงาม
รักษาคลองรากฟัน
ทันตกรรมทั่วไป
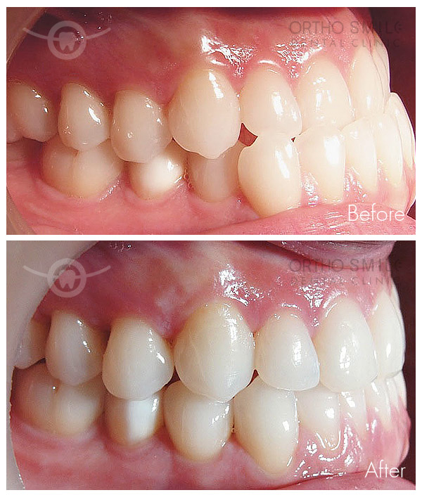
Invisalign
Invisalign Case 4